Cắt phanh môi / lưỡi (frenectomy) là thủ thuật nha khoa nhẹ nhàng nhằm loại bỏ hoặc điều chỉnh dải phanh (frenum) gây hạn chế cử động của môi hoặc lưỡi. Tại Nha Khoa Picasso Vinmec Đà Nẵng, thuộc hệ thống Bệnh viện Quốc tế Vinmec trên đường 30 Tháng 4, thủ thuật cắt phanh được thực hiện bởi BS. Lê Hồ Việt An và BS. Lê Thanh Toàn với kỹ thuật chuyên sâu, phù hợp cho mọi lứa tuổi từ trẻ sơ sinh đến người lớn, đảm bảo an toàn và phục hồi nhanh chóng.
Dính thắng lưỡi (ankyloglossia) và phanh môi bất thường là những vấn đề khá phổ biến, ảnh hưởng khoảng 4 - 11% trẻ sơ sinh. Phát hiện sớm và can thiệp kịp thời giúp cải thiện đáng kể chức năng bú, nói, ăn nhai và thẩm mỹ. Bài viết dưới đây cung cấp thông tin toàn diện về dịch vụ cắt phanh môi và phanh lưỡi tại Picasso Vinmec Đà Nẵng.
Cắt Phanh Môi / Lưỡi Là Gì?
Cắt phanh (frenectomy hoặc frenotomy) là thủ thuật loại bỏ hoặc cắt giải phóng dải mô mềm (phanh/frenum) nối giữa:
- Phanh lưỡi (lingual frenum): Dải mô nối mặt dưới lưỡi với sàn miệng. Khi phanh lưỡi quá ngắn hoặc dày, lưỡi bị hạn chế cử động, gọi là dính thắng lưỡi (tongue-tie/ankyloglossia).
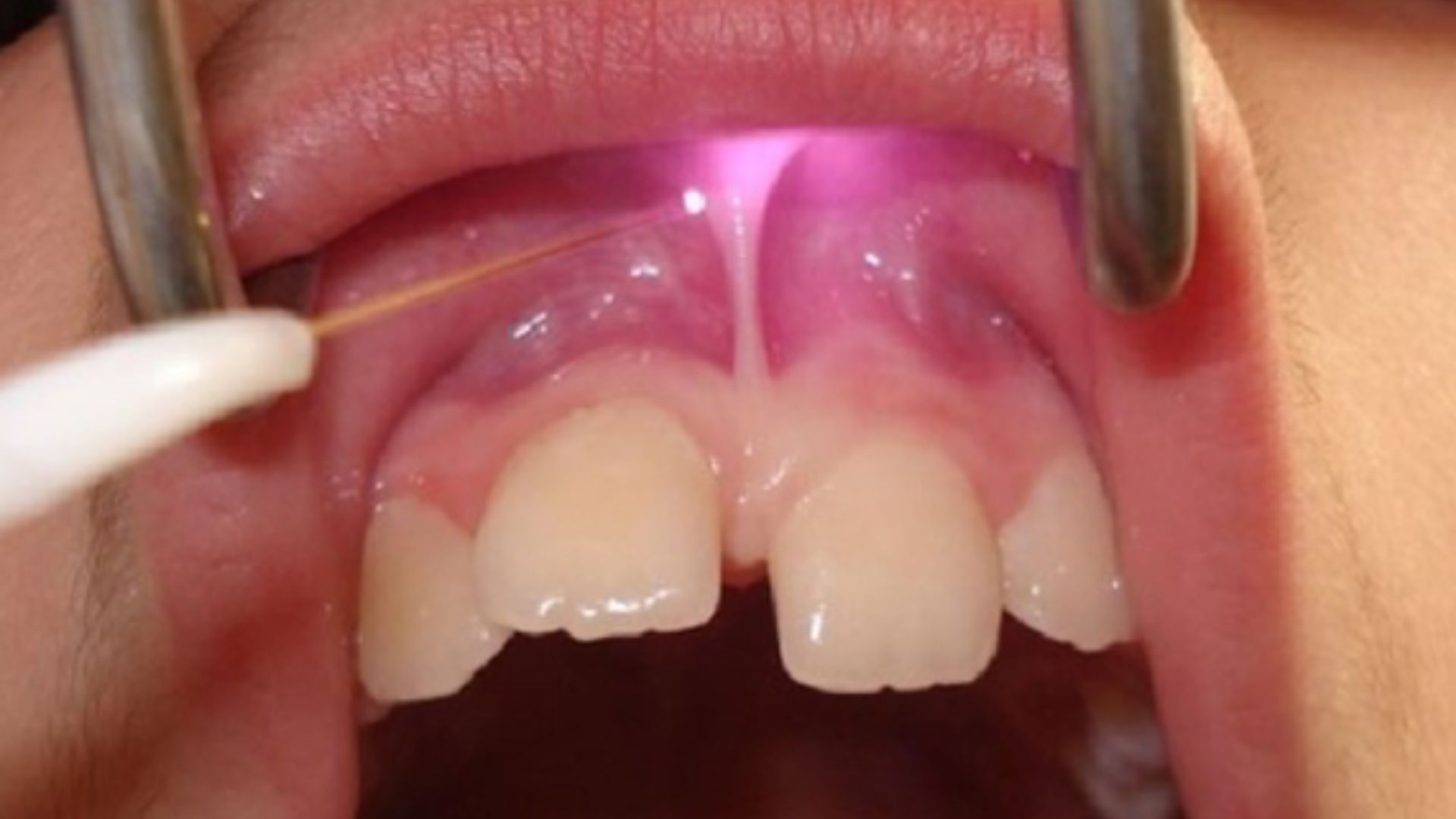
- Phanh môi trên (maxillary labial frenum): Dải mô nối mặt trong môi trên với nướu giữa hai răng cửa trên. Khi phanh bám thấp và dày, có thể gây khe hở giữa hai răng cửa (diastema).
- Phanh môi dưới (mandibular labial frenum): Dải mô nối môi dưới với nướu, ít gây vấn đề hơn nhưng đôi khi cũng cần can thiệp.
Có hai loại thủ thuật chính:
- Frenotomy (cắt phanh đơn giản): Cắt ngang phanh để giải phóng, thường áp dụng cho trẻ sơ sinh có phanh lưỡi mỏng.
- Frenectomy (cắt bỏ phanh): Loại bỏ hoàn toàn dải phanh, áp dụng khi phanh dày hoặc cần kết quả triệt để hơn.
Ai Nên Cắt Phanh Môi / Lưỡi?
Trẻ sơ sinh dính thắng lưỡi gây khó bú
Đây là chỉ định phổ biến nhất. Dính thắng lưỡi khiến trẻ không thể nâng lưỡi và tạo chân không hiệu quả khi bú mẹ, dẫn đến:
- Trẻ bú yếu, bú lâu, dễ mệt
- Trẻ tăng cân chậm, bú không đủ
- Mẹ đau, nứt núm vú khi cho bú
- Trẻ nuốt nhiều khí, hay nôn trớ
Phát hiện và cắt phanh sớm (có thể ngay tuần đầu sau sinh) giúp cải thiện nhanh chóng khả năng bú.
Trẻ nhỏ chậm nói hoặc phát âm không rõ
Dính thắng lưỡi hạn chế cử động lưỡi, khiến trẻ khó phát âm các âm cần lưỡi chạm vòm miệng hoặc răng cửa trên như: “l”, “r”, “t”, “d”, “n”, “s”. Cắt phanh kết hợp tập nói (speech therapy) giúp cải thiện phát âm.
Trẻ em có phanh môi gây khe hở răng cửa
Phanh môi trên bám thấp, dày xen giữa hai răng cửa tạo khe hở (diastema) không thể tự đóng khi răng vĩnh viễn mọc. Cắt phanh thường được kết hợp trong kế hoạch chỉnh nha để đóng khe hở hiệu quả.
Phanh gây tụt nướu hoặc khó vệ sinh
Phanh bám cao trên nướu có thể kéo nướu tụt xuống khi vận động môi, lưỡi, gây lộ chân răng và nhạy cảm. Cắt phanh kết hợp ghép nướu nếu cần.
Người lớn có vấn đề chức năng do phanh
- Khó khăn khi ăn uống (lưỡi không linh hoạt)
- Khó phát âm rõ ràng
- Khó vệ sinh răng miệng
- Phanh cản trở việc lắp hàm giả tháo lắp
Cắt phanh theo yêu cầu chỉnh nha
Bác sĩ chỉnh hình răng có thể chỉ định cắt phanh môi để hỗ trợ đóng khe hở răng cửa hoặc cắt phanh lưỡi để cải thiện tư thế lưỡi khi nuốt (tongue posture), đặc biệt trong chỉnh nha sớm trẻ em.
Ưu Điểm Của Dịch Vụ Cắt Phanh Tại Picasso Vinmec
Chuyên khoa nhi nha phù hợp mọi lứa tuổi
BS. Lê Hồ Việt An và BS. Lê Thanh Toàn có kinh nghiệm thực hiện cắt phanh cho mọi lứa tuổi, từ trẻ sơ sinh vài ngày tuổi đến người lớn. Kỹ thuật nhẹ nhàng, nhanh chóng và an toàn cho từng nhóm tuổi.
Nhiều phương pháp phù hợp từng trường hợp
Picasso Vinmec cung cấp đa dạng phương pháp cắt phanh: cắt bằng kéo phẫu thuật (cho trẻ sơ sinh), cắt bằng dao điện, hoặc phẫu thuật cắt bỏ hoàn toàn (cho phanh dày). Bác sĩ lựa chọn phương pháp tối ưu cho từng bệnh nhân.
Môi trường an toàn trong bệnh viện quốc tế
Thực hiện trong hệ thống Bệnh viện Quốc tế Vinmec Đà Nẵng đảm bảo an toàn tuyệt đối, đặc biệt quan trọng khi can thiệp cho trẻ sơ sinh và trẻ nhỏ. Hỗ trợ nhi khoa sẵn sàng nếu cần.
Tư vấn đa chuyên khoa
Khi cần, bác sĩ phối hợp với chuyên gia ngôn ngữ trị liệu (speech therapist), bác sĩ nhi khoa và bác sĩ chỉnh nha để lập kế hoạch điều trị toàn diện cho bệnh nhân.
Hướng dẫn tập luyện sau thủ thuật
Bệnh nhân được hướng dẫn chi tiết các bài tập kéo giãn sau cắt phanh để ngăn dính lại và phát huy tối đa hiệu quả thủ thuật.
Quy Trình Cắt Phanh Tại Picasso Vinmec Đà Nẵng
Bước 1: Thăm khám và đánh giá
Bác sĩ thăm khám lâm sàng, đánh giá mức độ dính phanh theo phân loại tiêu chuẩn. Với trẻ sơ sinh, đánh giá thêm khả năng bú và cân nặng. Với trẻ lớn, đánh giá ảnh hưởng đến phát âm và chức năng. Với người lớn, đánh giá tác động lên răng, nướu và chức năng ăn nhai.
Bước 2: Tư vấn và lập kế hoạch
Bác sĩ giải thích tình trạng, chỉ định, phương pháp can thiệp và kết quả mong đợi. Phối hợp với chuyên khoa liên quan nếu cần (chỉnh nha, nhi khoa, ngôn ngữ trị liệu).
Bước 3: Chuẩn bị và gây tê
- Trẻ sơ sinh: Thường không cần gây tê hoặc chỉ bôi thuốc tê bề mặt nếu phanh mỏng.
- Trẻ lớn và người lớn: Gây tê tại chỗ bằng tiêm. Bôi thuốc tê bề mặt trước để giảm đau khi tiêm.
Bước 4: Thực hiện cắt phanh
- Frenotomy (cắt đơn giản): Cắt ngang phanh bằng kéo phẫu thuật. Nhanh (vài giây), ít chảy máu, thường áp dụng cho trẻ sơ sinh.
- Frenectomy (cắt bỏ hoàn toàn): Cắt bỏ toàn bộ dải phanh bằng dao phẫu thuật hoặc dao điện. Khâu đóng nếu cần. Áp dụng cho phanh dày hoặc cần kết quả triệt để.
Bước 5: Kiểm tra và cầm máu
Kiểm tra vùng cắt, đảm bảo cầm máu tốt và lưỡi/môi cử động tự do. Với trẻ sơ sinh, cho bú mẹ ngay để kiểm tra hiệu quả.
Bước 6: Hướng dẫn sau thủ thuật
Hướng dẫn chăm sóc vết thương, bài tập kéo giãn, lịch tái khám. Với trẻ sơ sinh, hướng dẫn mẹ tư thế cho bú đúng cách.
Các Loại Dính Phanh
Phân loại dính thắng lưỡi (theo Kotlow)
| Phân loại | Mô tả | Chiều dài lưỡi tự do | Mức độ |
|---|---|---|---|
| Class I | Dính nhẹ | 12 - 16 mm | Nhẹ |
| Class II | Dính trung bình | 8 - 11 mm | Trung bình |
| Class III | Dính nặng | 3 - 7 mm | Nặng |
| Class IV | Dính hoàn toàn | Dưới 3 mm | Rất nặng |
Phân loại phanh môi bất thường
- Phanh bám nướu (Mucosal attachment): Bám ở nướu di động, bình thường.
- Phanh bám nướu dính (Gingival attachment): Bám ở nướu dính, có thể gây khe hở nhẹ.
- Phanh bám nhú nướu (Papillary attachment): Bám ở nhú nướu giữa hai răng cửa, gây khe hở rõ.
- Phanh bám xuyên nhú (Papilla penetrating): Bám xuyên qua nhú nướu ra mặt trong, mức độ nặng nhất.
So Sánh Các Phương Pháp Cắt Phanh
| Tiêu chí | Cắt bằng kéo | Cắt bằng dao điện | Cắt bằng laser |
|---|---|---|---|
| Chỉ định | Phanh mỏng, trẻ sơ sinh | Phanh dày, cần cắt bỏ | Mọi loại phanh |
| Thời gian | 1 - 5 phút | 10 - 20 phút | 5 - 15 phút |
| Gây tê | Không / Tê bề mặt | Tê tại chỗ | Tê tại chỗ |
| Chảy máu | Rất ít | Ít (dao điện cầm máu) | Rất ít |
| Khâu | Không | Có thể cần | Thường không |
| Đau sau thủ thuật | Rất nhẹ | Nhẹ - Trung bình | Nhẹ |
| Phục hồi | 1 - 2 ngày | 3 - 7 ngày | 2 - 5 ngày |
| Chi phí | Thấp | Trung bình | Cao hơn |
Chi Phí Cắt Phanh Môi / Lưỡi Tại Đà Nẵng
Chi phí cắt phanh tại Nha Khoa Picasso Vinmec Đà Nẵng dao động từ 1 đến 3 triệu VNĐ.
| Loại thủ thuật | Chi phí |
|---|---|
| Cắt phanh lưỡi trẻ sơ sinh (frenotomy) | 1 - 1.5 triệu VNĐ |
| Cắt phanh lưỡi trẻ lớn / người lớn | 1.5 - 2.5 triệu VNĐ |
| Cắt phanh môi trên | 1.5 - 2.5 triệu VNĐ |
| Cắt phanh phẫu thuật (frenectomy phức tạp) | 2 - 3 triệu VNĐ |
Chi phí bao gồm thăm khám, thuốc tê, vật tư và hướng dẫn tập luyện. Liên hệ 024 7308 8848 để được tư vấn cụ thể.
Chăm Sóc Sau Cắt Phanh
Đối với trẻ sơ sinh
- Cho bú mẹ ngay sau cắt phanh để kiểm tra hiệu quả và cầm máu tự nhiên.
- Chấm nhỏ máu tại vùng cắt là bình thường, tự hết trong vài phút.
- Thực hiện bài tập nâng lưỡi nhẹ nhàng mỗi lần thay tã (4 - 6 lần/ngày) trong 2 tuần.
- Theo dõi khả năng bú: cải thiện thường thấy rõ trong 24 - 48 giờ.
Đối với trẻ lớn và người lớn
- 24 giờ đầu: Ăn thức ăn mềm, nguội. Tránh cay nóng. Chườm đá ngoài nếu sưng.
- Ngày 2 - 3: Súc miệng nhẹ nhàng bằng nước muối ấm. Ăn mềm.
- Từ ngày 3: Bắt đầu tập bài tập kéo giãn (tongue stretching exercises) theo hướng dẫn, 3 - 4 lần/ngày trong 3 - 4 tuần. Đây là bước quan trọng nhất để ngăn dính lại.
- 1 tuần: Tái khám kiểm tra.
- 2 - 4 tuần: Vùng cắt lành hoàn toàn. Tiếp tục tập luyện.
Bài tập kéo giãn lưỡi sau cắt phanh
- Nâng lưỡi chạm vòm miệng, giữ 5 giây, lặp lại 10 lần.
- Đẩy lưỡi ra hai bên, giữ 5 giây mỗi bên.
- Thè lưỡi ra ngoài tối đa, giữ 5 giây.
- Cuộn lưỡi ngược lên, giữ 5 giây.
- Thực hiện 3 - 4 lần/ngày trong 3 - 4 tuần.
Rủi Ro Và Biến Chứng
Chảy máu
Chảy máu nhẹ sau cắt là bình thường, thường tự cầm trong vài phút. Chảy máu nhiều rất hiếm gặp.
Dính lại (Reattachment)
Mô sẹo có thể hình thành và phanh dính lại nếu không tập bài tập kéo giãn đúng cách. Tỷ lệ thấp khi tuân thủ hướng dẫn.
Nhiễm trùng
Hiếm gặp do vùng miệng có khả năng lành thương tốt. Vệ sinh đúng cách giúp phòng tránh.
Tổn thương ống tuyến nước bọt
Rất hiếm, có thể xảy ra khi cắt phanh lưỡi sâu gần ống tuyến dưới hàm. Bác sĩ kinh nghiệm sẽ tránh vùng này.
Sẹo
Sẹo trong miệng thường rất mờ và không ảnh hưởng chức năng hay thẩm mỹ.
Tại Sao Chọn Picasso Vinmec Đà Nẵng Để Cắt Phanh?
Chuyên môn đa lứa tuổi
BS. Lê Hồ Việt An và BS. Lê Thanh Toàn có kinh nghiệm cắt phanh cho mọi lứa tuổi, từ trẻ sơ sinh đến người lớn. Kỹ thuật được điều chỉnh phù hợp từng nhóm tuổi.
An toàn cho trẻ sơ sinh trong bệnh viện quốc tế
Thực hiện trong hệ thống Bệnh viện Quốc tế Vinmec Đà Nẵng, có hỗ trợ nhi khoa sẵn sàng. Đặc biệt an toàn và yên tâm cho phụ huynh khi cho trẻ sơ sinh can thiệp.
Phối hợp đa chuyên khoa
Khi cắt phanh liên quan đến chỉnh nha, chỉnh nha sớm trẻ em hoặc khám răng trẻ em, bác sĩ phối hợp liền mạch trong cùng hệ thống.
Hướng dẫn tập luyện chi tiết
Bệnh nhân được hướng dẫn cụ thể bài tập kéo giãn sau cắt phanh, kèm tài liệu minh họa. Theo dõi kết quả qua các lần tái khám để đảm bảo thành công.
Không gian thân thiện với trẻ em
Phòng khám tại Picasso Vinmec có không gian được thiết kế thân thiện, giúp trẻ em cảm thấy thoải mái và giảm bớt lo lắng.
Để đặt lịch thăm khám và tư vấn cắt phanh môi, phanh lưỡi, vui lòng liên hệ Nha Khoa Picasso Vinmec Đà Nẵng qua số điện thoại 024 7308 8848. Bác sĩ sẽ đánh giá tình trạng và tư vấn phương pháp can thiệp phù hợp nhất cho bạn hoặc bé.
