Trám bít hố rãnh (Dental Sealants) là biện pháp phòng ngừa sâu răng hiệu quả và đơn giản, trong đó bác sĩ phủ một lớp vật liệu nhựa mỏng lên các hố rãnh (fissure) trên mặt nhai của răng hàm — nơi dễ bị sâu nhất do rãnh sâu, hẹp mà bàn chải không thể làm sạch triệt để. Tại Nha Khoa Picasso Vinmec Đà Nẵng — Bệnh viện Quốc tế Vinmec, 30 Tháng 4, Đà Nẵng — dịch vụ trám bít hố rãnh được thực hiện bởi BS. Lê Hồ Việt An và BS. Lê Thanh Toàn, đặc biệt khuyến cáo cho trẻ em khi răng hàm vĩnh viễn vừa mọc, giúp bảo vệ hàm răng khỏi sâu ngay từ những năm đầu tiên.
Trám Bít Hố Rãnh Là Gì?
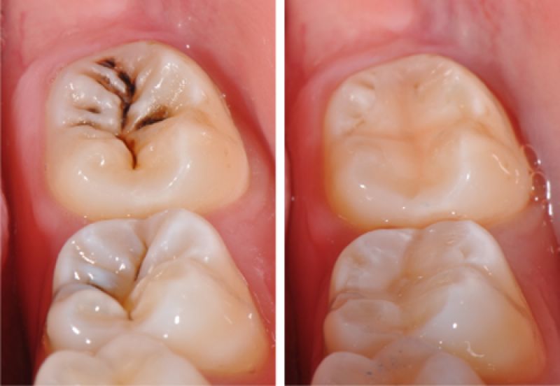
Trám bít hố rãnh (còn gọi là Sealant) là kỹ thuật sử dụng vật liệu nhựa lỏng được bơm vào các hố (pit) và rãnh (fissure) trên bề mặt nhai của răng, sau đó đông cứng bằng đèn quang trùng hợp, tạo thành lớp “áo giáp” bảo vệ vật lý ngăn vi khuẩn và thức ăn xâm nhập vào rãnh răng.
Tại Sao Hố Rãnh Dễ Bị Sâu?
Mặt nhai của răng hàm (cối) có hệ thống hố rãnh phức tạp với đặc điểm:
- Rãnh rất sâu và hẹp — có thể sâu 0.5-1mm nhưng chỉ rộng 0.1mm
- Lông bàn chải không lọt vào — đường kính lông bàn chải (0.2mm) lớn hơn miệng rãnh
- Vi khuẩn và thức ăn mắc kẹt — tạo môi trường axit phá hủy men răng
- Men răng đáy rãnh mỏng hơn — dễ bị xuyên thủng bởi axit
Kết quả: 80% sâu răng ở trẻ em và thanh thiếu niên xảy ra tại hố rãnh mặt nhai, dù diện tích này chỉ chiếm 12.5% tổng bề mặt răng.
Phân Loại Hố Rãnh (Hình Thể)
| Loại | Hình dạng | Nguy cơ sâu | Cần sealant? |
|---|---|---|---|
| Type V (Rãnh nông, rộng) | Chữ V, tự làm sạch được | Thấp | Không nhất thiết |
| Type U (Rãnh rộng, đáy tròn) | Chữ U, tương đối sạch | Thấp-trung bình | Tùy đánh giá |
| Type I/IK (Rãnh sâu, hẹp) | Chữ I hoặc thắt cổ chai | Cao | Rất khuyến cáo |
| Type Y (Rãnh hẹp, đáy phình) | Chữ Y, kẹt thức ăn | Rất cao | Bắt buộc |
Bác sĩ đánh giá hình thể rãnh bằng mắt thường, đầu dò và đôi khi hỗ trợ bằng camera nội soi hoặc laser phát hiện sâu để quyết định răng nào cần trám bít.
Ai Nên Trám Bít Hố Rãnh?
Đối Tượng Chính: Trẻ Em
- Trẻ 6-7 tuổi — khi răng hàm lớn thứ nhất (răng số 6) mọc hoàn toàn. Đây là răng quan trọng nhất, mọc sớm nhất và thường bị sâu đầu tiên
- Trẻ 11-13 tuổi — khi răng hàm lớn thứ hai (răng số 7) mọc hoàn toàn
- Trẻ 3-4 tuổi — có thể trám sealant trên răng hàm sữa nếu rãnh sâu
- Trẻ có nguy cơ sâu răng cao: tiền sử sâu nhiều, ăn vặt nhiều, vệ sinh kém
Trẻ Vị Thành Niên
- Răng tiền hàm (premolar) mới mọc — tuổi 10-12
- Răng hàm khôn (nếu giữ lại) — tuổi 17-21
- Trẻ đang niềng răng — khó vệ sinh, tăng nguy cơ
Người Lớn
- Người có rãnh răng sâu chưa sâu
- Nguy cơ sâu răng cao (miệng khô, ăn nhiều đường)
- Răng vĩnh viễn mới mọc muộn chưa có sealant từ nhỏ
Ưu Điểm Của Trám Bít Hố Rãnh
Hiệu Quả Phòng Ngừa Vượt Trội
- Giảm 80% sâu răng tại hố rãnh trong 2 năm đầu (CDC, ADA)
- Giảm 60% sâu răng sau 4-5 năm
- Hiệu quả chi phí cao — 1 lần sealant rẻ hơn nhiều so với 1 lần trám răng sâu
- Bảo vệ vật lý — tạo rào cản không cho vi khuẩn tiếp cận đáy rãnh
Ưu Điểm Quy Trình
- Hoàn toàn không đau — không khoan, không tiêm tê
- Nhanh chóng — chỉ 10-20 phút/răng
- Không mài răng — bảo toàn 100% cấu trúc răng
- Trẻ em dễ chấp nhận — trải nghiệm tích cực, không gây sợ hãi
- Có thể bổ sung — nếu bong, dễ dàng trám lại
So Với Không Trám Bít
| Tiêu chí | Có sealant | Không sealant |
|---|---|---|
| Nguy cơ sâu hố rãnh | Giảm 80% | Bình thường |
| Chi phí phòng ngừa | 200.000-500.000/răng, 1 lần | 0 |
| Chi phí điều trị sâu | Rất ít khi cần | 500.000-2.000.000/răng nếu sâu |
| Bảo toàn cấu trúc răng | 100% | Mất mô răng nếu sâu + trám |
| Đau đớn | Không | Có (nếu sâu cần trám/tủy) |
Quy Trình Trám Bít Hố Rãnh Tại Picasso Vinmec
Bước 1: Thăm Khám và Chọn Răng
Bác sĩ kiểm tra từng răng hàm:
- Đánh giá hình thể hố rãnh (sâu, hẹp hay nông, rộng)
- Kiểm tra có sâu răng hiện tại không (bằng đầu dò, X-quang hoặc laser phát hiện sâu)
- Xác định răng nào cần và phù hợp để trám bít
- Giải thích cho phụ huynh/bệnh nhân
Lưu ý quan trọng: Sealant chỉ áp dụng cho răng chưa sâu. Nếu đã sâu, cần trám răng thay thế.
Bước 2: Làm Sạch Bề Mặt Răng
Rãnh răng được làm sạch triệt để bằng:
- Bàn chải quay nhỏ + bột đánh bóng
- Hoặc Air-Flow phun bột mịn vào rãnh
- Đảm bảo không còn mảng bám, thức ăn trong rãnh
Bước 3: Acid Etching (Tạo Bám)
Dung dịch acid phosphoric 37% được bôi lên mặt nhai trong 15-30 giây, sau đó rửa sạch và thổi khô. Acid tạo vi lỗ trên bề mặt men răng, giúp sealant bám dính chắc chắn. Bước này không đau và không ảnh hưởng đến men răng.
Bước 4: Bôi Sealant
Vật liệu sealant lỏng được bơm cẩn thận vào tất cả hố rãnh trên mặt nhai. Bác sĩ kiểm tra sealant lấp đầy mọi rãnh, không tạo bọt khí.
Bước 5: Đông Cứng Bằng Đèn
Chiếu đèn quang trùng hợp (LED curing light) trong 20-40 giây để sealant đông cứng hoàn toàn. Sealant chuyển từ dạng lỏng sang cứng, bám chặt vào bề mặt răng.
Bước 6: Kiểm Tra Khớp Cắn
Bác sĩ kiểm tra xem sealant có gây cộm khi cắn không bằng giấy cắn. Nếu cộm, điều chỉnh nhẹ nhàng. Đảm bảo trẻ cắn thoải mái, bình thường.
Bước 7: Hướng Dẫn Và Hẹn Tái Khám
Hướng dẫn phụ huynh/bệnh nhân cách chăm sóc và hẹn kiểm tra sealant trong lần khám định kỳ tiếp theo.
Các Loại Vật Liệu Sealant
| Vật liệu | Đặc điểm | Ưu điểm | Nhược điểm |
|---|---|---|---|
| Resin-based (Nhựa composite) | Phổ biến nhất, đông cứng bằng đèn | Bám dính tốt, bền 3-5 năm, trong suốt/trắng | Cần bề mặt khô, nhạy cảm với ẩm |
| Glass Ionomer (GIC) | Đông cứng hóa học | Giải phóng fluor, bám dính tốt trên ẩm | Kém bền hơn resin, cần thay thường hơn |
| Resin-modified GIC | Kết hợp resin + GIC | Giải phóng fluor + bền hơn GIC thuần | Trung gian giữa hai loại |
Tại Picasso Vinmec Chọn Loại Nào?
Bác sĩ lựa chọn vật liệu phù hợp nhất tùy tình trạng:
- Resin-based — lựa chọn tiêu chuẩn cho hầu hết trường hợp (bền nhất)
- Glass Ionomer — cho trẻ nhỏ chưa hợp tác tốt (không cần cách ly ẩm tuyệt đối), răng mới mọc chưa hoàn toàn
So Sánh Trám Bít Hố Rãnh Với Các Biện Pháp Phòng Ngừa Khác
| Biện pháp | Cơ chế | Bảo vệ vùng nào | Hiệu quả | Phù hợp |
|---|---|---|---|---|
| Sealant | Rào cản vật lý | Hố rãnh mặt nhai | Giảm 80% sâu hố rãnh | Răng hàm mới mọc |
| Thoa fluor | Hóa học (tăng cường men) | Toàn bề mặt răng | Giảm 30-40% sâu tổng | Mọi răng, mọi tuổi |
| Kem đánh răng fluor | Hóa học (duy trì) | Toàn bề mặt | Nền tảng phòng ngừa | Hàng ngày |
| Chỉ nha khoa | Cơ học (sạch kẽ) | Kẽ răng | Phòng sâu kẽ + nướu | Hàng ngày |
| Cạo vôi | Cơ học (sạch cao) | Toàn bề mặt | Phòng nướu + sâu | 6 tháng/lần |
Chiến lược tối ưu cho trẻ: Sealant (mặt nhai) + Fluor (toàn bề mặt) + Đánh răng đúng cách + Chỉ nha khoa + Chế độ ăn hạn chế đường + Khám định kỳ.
Chi Phí Trám Bít Hố Rãnh Tại Picasso Vinmec
| Dịch vụ | Chi phí |
|---|---|
| Sealant resin-based (mỗi răng) | 300.000 - 500.000 VNĐ |
| Sealant GIC (mỗi răng) | 200.000 - 400.000 VNĐ |
| Gói 4 răng hàm lớn (răng số 6) | Liên hệ tư vấn |
| Combo: Sealant + Thoa fluor | Liên hệ tư vấn |
| Trám bổ sung sealant bong | Liên hệ tư vấn |
Liên hệ hotline 024 7308 8848 hoặc đặt lịch khám tư vấn để được báo giá cụ thể cho trường hợp con bạn.
So Sánh Chi Phí: Phòng Ngừa vs. Điều Trị
| Hạng mục | Chi phí ước tính |
|---|---|
| Sealant 1 răng | 200.000 - 500.000 VNĐ (1 lần) |
| Trám răng sâu 1 răng | 500.000 - 2.000.000 VNĐ |
| Điều trị tủy + mão sứ | 5.000.000 - 15.000.000 VNĐ |
| Nhổ răng + implant (nếu mất răng) | 20.000.000 - 50.000.000 VNĐ |
Rõ ràng, phòng ngừa luôn rẻ hơn và tốt hơn so với điều trị.
Chăm Sóc Sau Trám Bít Hố Rãnh
Ngay Sau Trám
- Trẻ có thể ăn uống bình thường ngay lập tức
- Sealant đã đông cứng hoàn toàn, không cần đợi
- Nếu cảm thấy hơi cộm khi cắn — quay lại để bác sĩ điều chỉnh
Chăm Sóc Hàng Ngày
- Đánh răng 2 lần/ngày — sealant không thay thế việc đánh răng
- Dùng chỉ nha khoa — sealant không bảo vệ kẽ răng
- Hạn chế kẹo dẻo, nhai đá — có thể bong sealant
- Tránh cắn vật cứng (bút, móng tay) trên răng có sealant
Theo Dõi Định Kỳ
- Kiểm tra sealant mỗi 6 tháng trong buổi khám răng trẻ em định kỳ
- Bác sĩ đánh giá sealant còn nguyên, bong một phần hay bong hết
- Trám bổ sung nếu bong — quy trình nhanh, đơn giản
- Kết hợp thoa fluor mỗi lần tái khám
Rủi Ro và Hạn Chế
Rủi Ro (Gần Như Bằng 0)
Trám bít hố rãnh là thủ thuật an toàn nhất trong nha khoa:
- Không đau, không xâm lấn — không khoan, không mài, không tiêm tê
- Không dị ứng — vật liệu đã được kiểm nghiệm an toàn
- Không ảnh hưởng cấu trúc răng — sealant nằm trên bề mặt, bảo toàn 100% men răng
- Nếu bong: răng trở về trạng thái ban đầu, không bị ảnh hưởng gì
Hạn Chế
- Chỉ bảo vệ mặt nhai — không bảo vệ kẽ răng và mặt ngoài/trong (cần fluor + chỉ nha khoa)
- Có thể bong — tỷ lệ bong 5-10%/năm, cần kiểm tra và bổ sung
- Không điều trị sâu — chỉ phòng ngừa, không thay thế trám răng nếu đã sâu
- Cần hợp tác — trẻ cần ngồi yên và há miệng trong 10-20 phút/răng
Quan Ngại Về BPA
Một số phụ huynh lo ngại về BPA (Bisphenol A) trong sealant nhựa. Theo ADA, lượng BPA phơi nhiễm từ sealant cực kỳ nhỏ (0.09 nanogram — thấp hơn hàng triệu lần mức an toàn), không gây ảnh hưởng sức khỏe. Lợi ích phòng sâu răng vượt trội hoàn toàn so với nguy cơ lý thuyết.
Tại Sao Chọn Picasso Vinmec Đà Nẵng Để Trám Bít Hố Rãnh?
Bác Sĩ Kinh Nghiệm Với Trẻ Em
BS. Lê Hồ Việt An và BS. Lê Thanh Toàn có kinh nghiệm phong phú trong nha khoa trẻ em, biết cách tạo không khí thoải mái, vui vẻ giúp trẻ hợp tác tốt trong suốt quá trình. Mỗi buổi trám sealant trở thành trải nghiệm tích cực, xây dựng thói quen đến nha sĩ tốt cho trẻ.
Vật Liệu Sealant Chất Lượng Cao
Picasso Vinmec sử dụng sealant từ các thương hiệu nha khoa hàng đầu, đảm bảo:
- Bám dính tốt, bền lâu
- Không BPA hoặc BPA-free
- Hương vị dễ chịu cho trẻ
- Màu sắc tự nhiên hoặc trong suốt
Đánh Giá Toàn Diện, Không Chỉ Trám Sealant
Mỗi buổi đến phòng khám, bác sĩ không chỉ trám sealant mà còn:
- Kiểm tra toàn bộ răng miệng
- Đánh giá nguy cơ sâu răng
- Thoa fluor tăng cường
- Hướng dẫn đánh răng đúng cách
- Tư vấn chế độ ăn phòng sâu răng
Kế Hoạch Phòng Ngừa Cá Nhân Hóa
Mỗi trẻ có mức nguy cơ sâu răng khác nhau. Bác sĩ tại Picasso Vinmec lập kế hoạch phòng ngừa riêng cho từng bé, bao gồm lịch thoa fluor, sealant, và tần suất khám tối ưu.
Tiêu Chuẩn Bệnh Viện Quốc Tế
Dịch vụ tại Bệnh viện Quốc tế Vinmec, 30 Tháng 4, Đà Nẵng đảm bảo tiêu chuẩn vệ sinh, vô trùng và an toàn cao nhất cho trẻ em. Phụ huynh hoàn toàn yên tâm.
Trám bít hố rãnh là một trong những biện pháp phòng ngừa sâu răng hiệu quả nhất và đơn giản nhất dành cho trẻ em. Với chi phí thấp, không đau, không xâm lấn, sealant bảo vệ răng hàm vĩnh viễn của bé khỏi sâu ngay từ khi mới mọc — thời điểm dễ bị tổn thương nhất.
Đừng chờ đến khi con bạn bị sâu răng mới hành động. Liên hệ Nha Khoa Picasso Vinmec Đà Nẵng — hotline 024 7308 8848 — để đặt lịch khám răng trẻ em và trám bít hố rãnh cho bé ngay hôm nay.
