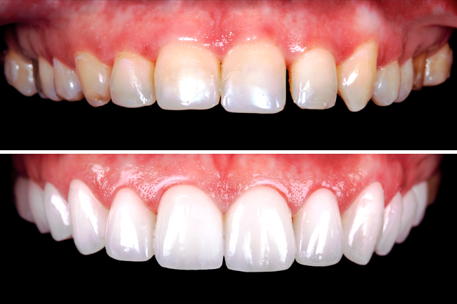
Trám răng thẩm mỹ là phương pháp phục hình nha khoa sử dụng vật liệu composite resin (nhựa-sứ) cao cấp để sửa chữa và khôi phục hình dáng, màu sắc tự nhiên cho răng bị sâu, sứt mẻ, thưa kẽ hoặc mất thẩm mỹ. Tại Nha Khoa Picasso Vinmec Đà Nẵng, trám răng thẩm mỹ được thực hiện bằng composite nano thế hệ mới, kỹ thuật trám nhiều lớp (layering technique) cho kết quả tự nhiên như răng thật, hoàn thành chỉ trong 30-60 phút.
Trám Răng Thẩm Mỹ Là Gì?
Trám răng thẩm mỹ (dental bonding / cosmetic bonding) là kỹ thuật sử dụng composite resin — một vật liệu tổng hợp gồm hạt sứ nano phân tán trong nền nhựa dimethacrylate — để xây dựng lại phần răng bị mất hoặc cải thiện thẩm mỹ răng. Vật liệu composite được đắp trực tiếp lên răng theo từng lớp mỏng, mỗi lớp được chiếu đèn LED đặc biệt (bước sóng 460-480nm) để đông cứng ngay lập tức.
Đặc Điểm Của Composite Thẩm Mỹ Hiện Đại
Composite thẩm mỹ ngày nay đã phát triển vượt bậc so với các thế hệ trước:
- Hạt sứ nano (kích thước 20-40 nm) tạo bề mặt siêu mịn, phản chiếu ánh sáng tự nhiên
- Nhiều lớp màu (enamel, dentin, opaque) cho phép tái tạo cấu trúc màu của răng thật
- Bám dính hóa học với men và ngà răng qua hệ thống bonding chuyên dụng
- Đông cứng tức thì bằng đèn LED quang trùng hợp, hoàn thành trong 1 buổi
- Có thể sửa chữa: Miếng trám có thể được đánh bóng lại hoặc bổ sung thêm vật liệu
Sự Khác Biệt Giữa Trám Thẩm Mỹ Và Trám Thường
| Tiêu chí | Trám Thẩm Mỹ (Composite) | Trám Thường (Amalgam) |
|---|---|---|
| Vật liệu | Nhựa-sứ composite | Hợp kim bạc-thủy ngân |
| Màu sắc | Trùng màu răng tự nhiên | Xám bạc, rõ rệt |
| Bám dính | Bám dính hóa học với răng | Bám dính cơ học (cần tạo lỗ giữ) |
| Bảo tồn răng | Mài ít, bảo tồn tối đa | Cần mài nhiều hơn để tạo lỗ giữ |
| Thẩm mỹ | Gần như không thấy miếng trám | Dễ nhận biết, mất thẩm mỹ |
| An toàn | Không chứa thủy ngân | Chứa thủy ngân (đang bị loại bỏ) |
| Tuổi thọ | 5-7 năm | 10-15 năm |
| Chi phí | Cao hơn | Thấp hơn |
Ai Nên Trám Răng Thẩm Mỹ?
Đối Tượng Phù Hợp
- Người có răng sâu nhỏ đến vừa cần phục hồi đảm bảo thẩm mỹ
- Răng bị sứt mẻ, nứt nhỏ do va chạm hoặc cắn vật cứng
- Răng thưa kẽ nhỏ (diastema nhỏ dưới 2mm) muốn đóng kẽ nhanh chóng
- Người muốn thay miếng trám amalgam cũ bằng trám thẩm mỹ
- Răng bị mòn cổ răng (abrasion) do chải răng quá mạnh hoặc yếu tố axit
- Muốn chỉnh hình nhẹ hình dáng răng: đắp thêm để kéo dài, bo tròn góc cạnh
- Người cần phục hồi thẩm mỹ nhanh chóng, tiết kiệm trong một buổi duy nhất
Đối Tượng Nên Cân Nhắc Phương Pháp Khác
- Răng sâu lớn (mất hơn 50% thân răng) — nên cân nhắc bọc răng sứ
- Muốn thay đổi thẩm mỹ toàn diện, lâu dài cho nhiều răng — nên cân nhắc mặt dán sứ Veneer
- Răng đã điều trị tủy — cần mão sứ bảo vệ thay vì trám
- Người nghiến răng nặng (bruxism) — miếng trám composite chịu lực kém, dễ vỡ sớm
Ưu Điểm Của Trám Răng Thẩm Mỹ
Thẩm Mỹ Tự Nhiên
- Trùng màu răng thật: Composite có hàng chục mã màu, bác sĩ phối nhiều lớp màu phù hợp tông răng bệnh nhân
- Bề mặt mịn bóng: Hạt sứ nano tạo bề mặt phản chiếu ánh sáng tương tự men răng tự nhiên
- Độ trong mờ tự nhiên: Kỹ thuật trám nhiều lớp tái tạo độ trong mờ giống cấu trúc răng thật
- Khó phân biệt: Miếng trám hoàn thiện gần như không thể nhận biết bằng mắt thường
Bảo Tồn Răng Tối Đa
- Mài ít nhất: Chỉ loại bỏ phần răng bị sâu hoặc hư hại, không cần mài thêm để tạo hình giữ cơ học
- Bám dính hóa học: Hệ thống bonding tạo liên kết hóa học với men và ngà răng, không cần lỗ giữ
- Ít xâm lấn nhất: So với bọc răng sứ hay dán Veneer, trám thẩm mỹ bảo tồn mô răng tốt nhất
Nhanh Chóng Và Tiện Lợi
- Hoàn thành trong 1 buổi: 30-60 phút cho một răng, không cần lấy dấu hay chờ lab chế tác
- Ăn uống ngay: Composite đông cứng tức thì bằng đèn LED, ăn uống bình thường ngay sau khi hết tê
- Chi phí hợp lý: Giá thành thấp hơn đáng kể so với Veneer hay mão sứ
Dễ Sửa Chữa Và Bảo Trì
- Bổ sung vật liệu: Nếu miếng trám bị sứt nhỏ, có thể đắp thêm composite mà không cần làm lại toàn bộ
- Đánh bóng lại: Miếng trám bị ố có thể đánh bóng lại bề mặt để phục hồi độ bóng ban đầu
- Thay thế dễ dàng: Khi hết tuổi thọ, thay miếng trám mới đơn giản, nhanh chóng và không tốn kém
Các Phương Pháp Trám Răng Thẩm Mỹ
Trám Trực Tiếp (Direct Bonding)
Phương pháp phổ biến nhất, bác sĩ đắp composite trực tiếp lên răng trong miệng bệnh nhân, tạo hình và hoàn thiện ngay trong một buổi.
- Chỉ định: Sâu răng, sứt mẻ nhỏ đến vừa, đóng kẽ răng, sửa hình dáng nhẹ
- Ưu điểm: Nhanh (1 buổi), chi phí thấp, bảo tồn răng tốt
- Vật liệu: Composite nano (Filtek Supreme, Estelite Sigma, GC Essentia)
- Tuổi thọ: 5-7 năm
Trám Gián Tiếp - Inlay/Onlay Composite
Miếng trám được chế tạo tại lab nha khoa từ composite hoặc sứ ép, sau đó gắn vào răng bằng xi măng chuyên dụng.
- Chỉ định: Sâu răng lớn ở răng hàm, cần phục hình chịu lực cao hơn
- Ưu điểm: Khít sát hơn, bền hơn trám trực tiếp, chịu lực tốt hơn, ít co ngót
- Nhược điểm: Cần 2 lần hẹn, chi phí cao hơn trám trực tiếp
- Tuổi thọ: 7-10 năm
Trám Đóng Kẽ Răng (Diastema Closure)
Kỹ thuật chuyên biệt sử dụng composite để đóng kẽ hở giữa các răng, đặc biệt phổ biến cho kẽ hở giữa hai răng cửa (diastema).
- Chỉ định: Kẽ hở dưới 2mm giữa các răng
- Ưu điểm: Nhanh, không mài răng, có thể hoàn nguyên nếu không hài lòng
- Nhược điểm: Vùng kẽ răng dễ tích tụ thức ăn, cần vệ sinh kỹ
- Tuổi thọ: 3-5 năm
Bảng So Sánh Các Phương Pháp Phục Hồi Thẩm Mỹ
| Tiêu chí | Trám Thẩm Mỹ | Dán Sứ Veneer | Bọc Răng Sứ |
|---|---|---|---|
| Mức độ xâm lấn | Rất ít | Ít (0.3-0.5mm) | Nhiều (1-2mm) |
| Số buổi điều trị | 1 buổi | 2-3 buổi | 2-3 buổi |
| Thẩm mỹ | Tốt | Xuất sắc | Xuất sắc |
| Tuổi thọ | 5-7 năm | 10-15 năm | 10-15 năm |
| Chi phí/răng | 500K - 2 triệu | 8-15 triệu | 5-20 triệu |
| Phù hợp cho | Khuyết điểm nhỏ | Thẩm mỹ tổng thể | Phục hình + thẩm mỹ |
| Khả năng sửa chữa | Dễ dàng | Khó | Khó |
| Hoàn nguyên | Có thể | Rất khó | Không thể |
Quy Trình Trám Răng Thẩm Mỹ Tại Picasso Vinmec
Quy trình trám răng thẩm mỹ tại Nha Khoa Picasso Vinmec Đà Nẵng được thực hiện tỉ mỉ qua 6 bước trong một lần hẹn duy nhất bởi BS. Lê Hồ Việt An và BS. Lê Thanh Toàn.
Bước 1: Thăm Khám Và Chẩn Đoán
- Khám lâm sàng: Đánh giá mức độ sâu, mẻ hoặc mất thẩm mỹ của răng cần trám
- Chụp X-quang: Kiểm tra mức độ sâu đến tủy, tình trạng chân răng và xương ổ răng
- Xác định phương án: Lựa chọn trám trực tiếp hay gián tiếp, loại composite phù hợp
- Chọn màu composite: So sánh với bảng màu VITA chuẩn quốc tế, chọn mã màu trùng tông răng tự nhiên
Bước 2: Chuẩn Bị Răng
- Gây tê tại chỗ (nếu sâu răng sâu hoặc bệnh nhân có răng nhạy cảm)
- Loại bỏ mô sâu: Dùng mũi khoan kim cương tốc độ cao loại bỏ hoàn toàn mô răng bị sâu
- Tạo hình xoang trám: Làm sạch và tạo hình bề mặt cho composite bám dính tối ưu
- Cách ly bằng đê cao su: Giữ vùng trám khô hoàn toàn, ngăn nước bọt ảnh hưởng đến bám dính
Bước 3: Xử Lý Bề Mặt Bám Dính
- Etching (xoi mòn axit): Bôi axit phosphoric 37% lên men và ngà răng trong 15-20 giây tạo vi nhám
- Rửa và thổi khô: Loại bỏ axit, tạo bề mặt vi nhám cho bonding agent thẩm thấu
- Bôi bonding agent: Lớp keo bám dính đặc biệt thẩm thấu vào vi nhám men và ngà răng
- Chiếu đèn LED: Đông cứng bonding bằng đèn LED bước sóng 460nm trong 20 giây
Bước 4: Trám Composite Nhiều Lớp (Layering Technique)
Đây là bước quan trọng nhất, quyết định chất lượng thẩm mỹ của miếng trám:
- Lớp đáy (opaque): Che phủ ngà răng đổi màu, tạo nền màu tự nhiên
- Lớp giữa (body/dentin): Tạo khối lượng chính của miếng trám, tái tạo lớp ngà răng với màu sắc và độ đục phù hợp
- Lớp ngoài (enamel): Mô phỏng lớp men trong suốt, tạo độ trong mờ và phản xạ ánh sáng tự nhiên
- Mỗi lớp dày 1-2mm được chiếu đèn LED 20-40 giây để đông cứng hoàn toàn trước khi đắp lớp tiếp theo
Bước 5: Tạo Hình Và Chỉnh Khớp Cắn
- Tạo hình giải phẫu: Khắc các rãnh, gờ, múi răng tự nhiên bằng dụng cụ điêu khắc chuyên dụng
- Kiểm tra khớp cắn: Dùng giấy cắn kiểm tra điểm tiếp xúc đều khi bệnh nhân cắn hai hàm
- Điều chỉnh: Mài bớt điểm cao, tạo hình tiếp xúc hai bên (contact point) phù hợp
Bước 6: Đánh Bóng Hoàn Thiện
- Đánh bóng thô: Dùng đĩa đánh bóng Sof-Lex loại bỏ bề mặt thô ráp
- Đánh bóng mịn: Dùng đầu cao su và paste đánh bóng tạo độ bóng cao
- Đánh bóng siêu mịn: Bước cuối cùng tạo bề mặt siêu bóng, phản chiếu ánh sáng tự nhiên giống men răng
- Kiểm tra cuối cùng: Đánh giá toàn diện thẩm mỹ, độ khít, khớp cắn trước khi hoàn thành
Chi Phí Trám Răng Thẩm Mỹ Tại Đà Nẵng
Bảng giá tham khảo dịch vụ trám răng thẩm mỹ tại Nha Khoa Picasso Vinmec Đà Nẵng:
| Loại trám thẩm mỹ | Giá/răng (VNĐ) | Chỉ định phổ biến |
|---|---|---|
| Trám mặt nhỏ (1 mặt) | 500.000 - 800.000 | Sâu nhỏ bề mặt, mẻ nhẹ |
| Trám mặt vừa (2 mặt) | 800.000 - 1.200.000 | Sâu trung bình, mẻ vừa |
| Trám mặt lớn (3+ mặt) | 1.000.000 - 1.500.000 | Sâu lớn, mất nhiều mô răng |
| Trám đóng kẽ thẩm mỹ | 1.000.000 - 1.500.000 | Răng thưa, kẽ hở dưới 2mm |
| Trám thẩm mỹ đặc biệt | 1.500.000 - 2.000.000 | Tái tạo hình dáng phức tạp |
Yếu Tố Ảnh Hưởng Chi Phí
- Kích thước miếng trám: Sâu nhỏ 1 mặt chi phí thấp hơn sâu lớn nhiều mặt
- Vị trí răng: Răng cửa vùng cười cần kỹ thuật cao hơn, chi phí tương ứng cao hơn
- Loại composite: Composite nano cao cấp (Estelite Sigma, GC Essentia) có giá cao hơn composite thường
- Độ phức tạp: Tái tạo hình dáng phức tạp (góc cắn, gờ cắn, đóng kẽ) tốn nhiều thời gian và kỹ thuật
- Số lượng răng: Trám nhiều răng cùng buổi có thể được ưu đãi trọn gói
Chính Sách Tại Picasso Vinmec
- Khám và tư vấn: Miễn phí
- Bảo hành: 12-24 tháng cho miếng trám thẩm mỹ
- Đánh bóng lại: Miễn phí trong thời gian bảo hành
- Tái khám: Miễn phí kiểm tra trong 6 tháng đầu
Liên hệ tư vấn: Gọi 024 7308 8848 hoặc đến trực tiếp Vinmec Da Nang International Hospital, 30 Tháng 4, Hoà Cường Bắc, Hải Châu, Đà Nẵng để được bác sĩ thăm khám và báo giá chính xác.
Chăm Sóc Sau Trám Răng Thẩm Mỹ
Ngay Sau Khi Trám
- Ăn uống: Có thể ăn uống bình thường ngay khi hết tê (nếu có gây tê), thường sau 30-60 phút
- 24 giờ đầu: Tránh thức ăn quá cứng (đá, hạt cứng) và đồ uống có màu đậm (cà phê, rượu vang đỏ, trà đậm)
- Cẩn thận khi nhai: Tránh cắn trực tiếp vào miếng trám mới bằng thức ăn quá cứng trong ngày đầu
Chăm Sóc Lâu Dài
- Chải răng đúng cách: 2 lần/ngày bằng bàn chải lông mềm, tránh chải quá mạnh vùng trám
- Dùng chỉ nha khoa: Hàng ngày để làm sạch kẽ răng, nhẹ nhàng khi kéo qua vùng miếng trám
- Hạn chế sắc tố: Giảm tiêu thụ cà phê, trà đậm, thuốc lá để miếng trám không bị ố nhanh
- Tránh cắn vật cứng: Không cắn bút, móng tay, mở nắp chai bằng răng
- Tái khám 6 tháng/lần: Kiểm tra miếng trám, đánh bóng lại nếu bề mặt bị ố
Khi Nào Cần Thay Miếng Trám
- Miếng trám bị sứt mẻ, nứt rõ rệt hoặc bong một phần
- Xuất hiện sâu tái phát quanh viền miếng trám (bờ trám bị hở)
- Miếng trám đổi màu nghiêm trọng không thể đánh bóng lại được
- Khe hở giữa miếng trám và răng khiến thức ăn thường xuyên giắt vào
- Miếng trám bị bong, rơi ra khỏi răng
Rủi Ro Và Lưu Ý
Rủi Ro Có Thể Xảy Ra
- Ê buốt tạm thời: Sau khi trám sâu, răng có thể ê buốt nhẹ với nóng/lạnh trong 1-2 tuần, thường tự hết
- Viêm tủy: Hiếm gặp, xảy ra khi sâu rất gần tủy, có thể cần điều trị tủy bổ sung
- Miếng trám bị vỡ: Do lực nhai quá mạnh hoặc cắn vật cứng, cần trám lại hoặc nâng cấp phương pháp
- Đổi màu theo thời gian: Composite hấp thụ sắc tố từ thực phẩm, miếng trám có thể ố dần sau vài năm
- Sâu tái phát: Nếu bờ trám bị hở hoặc vệ sinh kém, vi khuẩn có thể xâm nhập gây sâu tái phát quanh miếng trám
- Dị ứng: Cực kỳ hiếm, một số ít người nhạy cảm với thành phần trong composite hoặc bonding agent
Lưu Ý Quan Trọng
- Tuổi thọ giới hạn: Miếng trám composite cần thay mới sau 5-7 năm, đây không phải giải pháp vĩnh viễn
- Không phù hợp cho răng hư hại nặng: Sâu lớn hoặc mất nhiều mô răng nên cân nhắc bọc răng sứ thay vì trám
- Kỹ thuật phụ thuộc bác sĩ: Chất lượng thẩm mỹ phụ thuộc lớn vào tay nghề và kỹ thuật trám nhiều lớp của bác sĩ
- Cách ly ẩm quan trọng: Miếng trám sẽ kém bền nếu quá trình trám bị nhiễm nước bọt, do đó cần sử dụng đê cao su cách ly
Tại Sao Chọn Trám Răng Thẩm Mỹ Tại Picasso Vinmec?
Kỹ Thuật Trám Nhiều Lớp Chuyên Sâu
Bác sĩ tại Picasso Vinmec áp dụng kỹ thuật trám nhiều lớp (layering technique) theo tiêu chuẩn quốc tế, sử dụng 3-5 lớp composite khác nhau (opaque, dentin, enamel) để tái tạo cấu trúc tự nhiên của răng. Kỹ thuật này đòi hỏi sự tỉ mỉ cao nhưng cho kết quả thẩm mỹ vượt trội so với phương pháp trám một lớp thông thường tại nhiều phòng khám khác.
Đội Ngũ Bác Sĩ Giàu Kinh Nghiệm
- BS. Lê Hồ Việt An — Trưởng phòng khám, chuyên gia phục hồi thẩm mỹ nha khoa
- BS. Lê Thanh Toàn — Bác sĩ nha khoa thẩm mỹ, thành thạo kỹ thuật bonding nâng cao
- Đội ngũ bác sĩ liên tục cập nhật kỹ thuật trám thẩm mỹ mới nhất từ các hội nghị nha khoa quốc tế
Vật Liệu Chính Hãng Cao Cấp
- Composite nano cao cấp: Filtek Supreme (3M, Mỹ), Estelite Sigma Quick (Tokuyama, Nhật), GC Essentia (GC, Nhật)
- Hệ thống bonding: Single Bond Universal (3M), All-Bond Universal (Bisco)
- Tất cả vật liệu đều có chứng nhận CE, FDA, nguồn gốc rõ ràng và chính hãng
Trang Thiết Bị Hiện Đại
- Đèn LED quang trùng hợp cường độ cao, đông cứng đều và nhanh chóng
- Hệ thống cách ly đê cao su đảm bảo vùng trám khô tuyệt đối, tối ưu bám dính
- Kính phóng đại (loupes) giúp bác sĩ thao tác chính xác ở cấp vi mô, hoàn thiện chi tiết
- Bộ đánh bóng chuyên dụng Sof-Lex, OptiDisc cho bề mặt miếng trám siêu mịn và bóng tự nhiên
Môi Trường Bệnh Viện Quốc Tế
Phòng khám nha khoa đặt tại Bệnh viện Đa khoa Quốc tế Vinmec Đà Nẵng, đảm bảo:
- Tiêu chuẩn vô trùng cấp bệnh viện, hệ thống tiệt trùng autoclave hiện đại
- Quy trình kiểm soát nhiễm khuẩn nghiêm ngặt theo chuẩn quốc tế
- Hệ thống hồ sơ điện tử, theo dõi lịch sử điều trị chi tiết cho từng bệnh nhân
Liên Kết Dịch Vụ Toàn Diện
Trám răng thẩm mỹ tại Picasso Vinmec có thể kết hợp với các dịch vụ khác để tối ưu kết quả thẩm mỹ:
- Tẩy trắng răng — Tẩy trắng trước khi trám để chọn màu composite sáng hơn
- Mặt dán sứ Veneer — Nâng cấp từ trám thẩm mỹ lên Veneer cho kết quả lâu dài hơn
- Thiết kế nụ cười — Lên kế hoạch thẩm mỹ tổng thể kết hợp nhiều phương pháp
Đặt lịch tư vấn: Liên hệ Nha Khoa Picasso Vinmec Đà Nẵng qua số 024 7308 8848 để được tư vấn miễn phí và phục hồi thẩm mỹ răng nhanh chóng, tự nhiên.
